【世界水準の歯科治療】阿佐ヶ谷の歯医者
| 診療時間 | 月 | 火 | 水 | 木 | 金 | 土 | 日 |
|---|---|---|---|---|---|---|---|
| 9:00~12:30 | ○ | ○ | ○ | ー | ○ | ※ | ー |
| 14:00~18:30 | ○ | ○ | ▲ | ー | ○ | ※ | ー |
▲:14:00~17:30, ※:9:00~12:00/13:00~15:00
休診日:木、日、祝日
英語対応可能(English is Available)
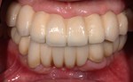
ほとんどの場合において、固定性のもの(取り外し式の義歯でないもの)を選択しております。その場合患者さまは、治療期間終了するまで基本的にはずすことなく生活することができます。初診時からなるべく早い段階(可能なら来院時当日)で、この仮歯(テンポラリー、プロビジョナル)まで移行し、歯がない不自由な期間を短縮することを試みます。
そのほかの選択肢といたしまして、通常の義歯(入れ歯)のほかに、やわらかくて透明の義歯(ノンクラスプデンチャー)をしばらく使用することも場合により行います。
仮歯、または正式にはプロビジョナル、テンポラリーレストレーションといいますが、最終的な上もの(final restoration)を入れる前の重要な準備のステップととらえております。仮歯をいれることにより、しっかり噛めるか、 食物がはさまらないか、見た目は大丈夫か、頬の内側を噛んだりしないか等を確認できます。
また、歯が一本もないようなインプラント治療の際にも、手術即日から固定式の歯で噛めるようになる方法(イメディエイトローディング、All on 4...etc)もあります。症例を選ぶことにより、これらの方法も良い結果がでています。
| 月 | 火 | 水 | 木 | 金 | 土 | 日 | |
|---|---|---|---|---|---|---|---|
| 午前 | ○ | ○ | ○ | ー | ○ | ※ | ー |
| 午後 | ○ | ○ | ▲ | ー | ○ | ※ | ー |
午前:9:00~12:30
午後:14:00~18:30
▲:14:00~17:30
※:9:00~12:00/13:00~15:00
休診日:木、日、祝日