いろいろな表現法があると思いますが。。
まずはこうならないような治療法の選択が最初からできていればよいのですが、長い年月が経つと、歯そのものや、歯と銀歯等の接着剤も劣化してきます。 お口の中は過酷な状況なのです。 熱いもの、冷たいもの、硬いもの、くつつくもの、食いしばり、歯ぎしり。。。。 よく耐えてくれているものですが、 いつかはガタがくることもあります。起きてしまったことは、しょうがないです。次の一手をしっかりやりましょう。
【世界水準の歯科治療】阿佐ヶ谷の歯医者
| 診療時間 | 月 | 火 | 水 | 木 | 金 | 土 | 日 |
|---|---|---|---|---|---|---|---|
| 9:00~12:30 | ○ | ○ | ○ | ー | ○ | ※ | ー |
| 14:00~18:30 | ○ | ○ | ▲ | ー | ○ | ※ | ー |
▲:14:00~17:30, ※:9:00~12:00/13:00~15:00
休診日:木、日、祝日
英語対応可能(English is Available)
いろいろな表現法があると思いますが。。
まずはこうならないような治療法の選択が最初からできていればよいのですが、長い年月が経つと、歯そのものや、歯と銀歯等の接着剤も劣化してきます。 お口の中は過酷な状況なのです。 熱いもの、冷たいもの、硬いもの、くつつくもの、食いしばり、歯ぎしり。。。。 よく耐えてくれているものですが、 いつかはガタがくることもあります。起きてしまったことは、しょうがないです。次の一手をしっかりやりましょう。
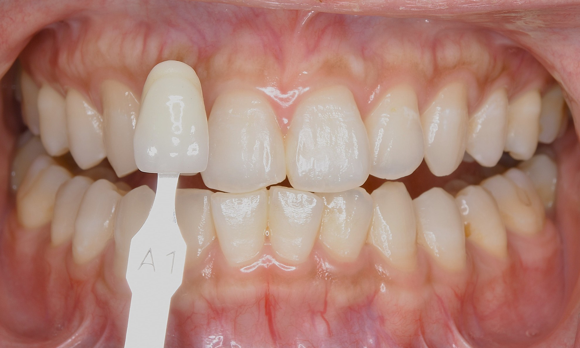
まず目指すところの明るさをこの辺にしました
30代男性: 3週間ほどで、なんとか目標とする色明るさになりました。 家で30分以上マウスピースにジェルを入れて装着してもらいました。 けっこう歯がしみたみたいで、毎日装着はできなかったそうですが、 歯はそれなりの明るさになりました。
治療費 上下4万円(税別)
考えられる偶発症; 歯の知覚過敏、 歯肉の痛み、 色の変化が想定していたものと異なる、 色の後戻り 等
術前:前歯2本にホワイトスポットが存在
ホームホワイトニングとホワイトスポット治療のコンビネーション
近年、前歯の白い斑点(ホワイトスポット)を目立たなくする ホワイトスポット治療(ICON治療)が注目されています。 当院でも多くの患者様からご相談をいただき、実際に治療を行っています。 ●実際の症例 先日行ったホワイトスポット治療をご紹介いたします。 以前から当院に通院されていた患者様が、 「前歯の白い斑点がずっと気になっている」と改めてご相談くださいました。 まずはクリーニングを行いながらホームホワイトニングのみで、白斑/ホワイトスポットが目立たなくなるかを見てみました。かなり目立たなくなりましたが、やはりICON治療をやってみたいとのことで、まずは2本ある白斑の目立つ方の歯からICONによるホワイトスポット治療を実施。納得のいく結果だったため、もう片方のICON治療も希望されました。 治療後に鏡でご自身の歯をご覧になり、 「長年気になっていた白い部分が目立たなくなった!」と 大変喜んでいただきました。 ●ICON治療の特徴 ・歯を削らずに治せる(最小限の処置) ・今回は違いましたが、1回の来院で完了することも多い。(おおよそ1時間〜1時間半ほど) ・痛みがない(麻酔が不要なケースがほとんど) 通常の虫歯治療と違い、歯を大きく削る必要がないため、 見た目の改善と歯の健康を両立できる治療です。 前歯の白い斑点が気になる方、ホワイトニングと合わせて改善したい方は、 ぜひ一度当院までご相談ください。 1歯あたり35,000円(税抜)。同時に行う場合の2歯目以降は、1歯ごとに+10,000円(税抜) DR長井が主に担当しています
ホームホワイトニングのみの終了後
ホームホワイトニングを1か月ほど行った結果になります。 これだけでも結構目立たなくなってきてます。
これでひとまずOKとのことでしたが、約一年後にやはりICON治療も行いたいとのことで来院されました。
毎年8月恒例ですね
子供のころから毎年楽しみでした 今でも、入ってすぐ左側にあったおもちゃ屋さんの包装紙の香りが忘れられません!
たぶん なにかしらの意図があるのだと
ロー スマイルライン
40代女性: 他院にてインプラント手術が行われて仮歯まで入っていましたが仮歯が外れて来院されました。 画面からみて右側、真ん中から二つ目の部位になります。全体的に前歯の切端の長さのばらつきがみられ、特に向かって左側の被せものの切端が下方向に落ちています。 複数回のコンサルテーションの結果、犬歯から犬歯までを被せもの(セラミッククラウン)や詰め物(ダイレクトボンディング)にて、スマイルを整えていこうということになりました。
歯肉の位置
画面右側,前から2番目のインプラントは、埋入の位置によって歯肉のラインが隣在の歯よりも上方向に位置してしまっています。これを修正していくことは複雑で簡単ではないのですが、スマイル時に歯茎が見えないロースマイルラインでしたので、このままの位置で被せものをしていくこととなりました。
NEW SMILE
真ん中2本は被せものにせず、ダイレクトボンディングにて修復。 他の3本の歯はホワイトクラウン、インプラント部はジルコニアクラウンにて終了しました。
犬歯から犬歯への切端の位置と、正中線を整えました。 今後、下顎の前歯の歯肉を下げて、もっと下の前歯をみせることも可能といえば可能です。
治療費(税別); ダイレクトボンディング2本 ¥35000x2, ホワイトクラウン3本 ¥72500x3 , インプラント他院埋入/上部構造のみ(ジルコニアクラウン)¥250000, ホームホワイトニング¥40000
治療期間; 1年弱(他部位の虫歯治療を含めて)
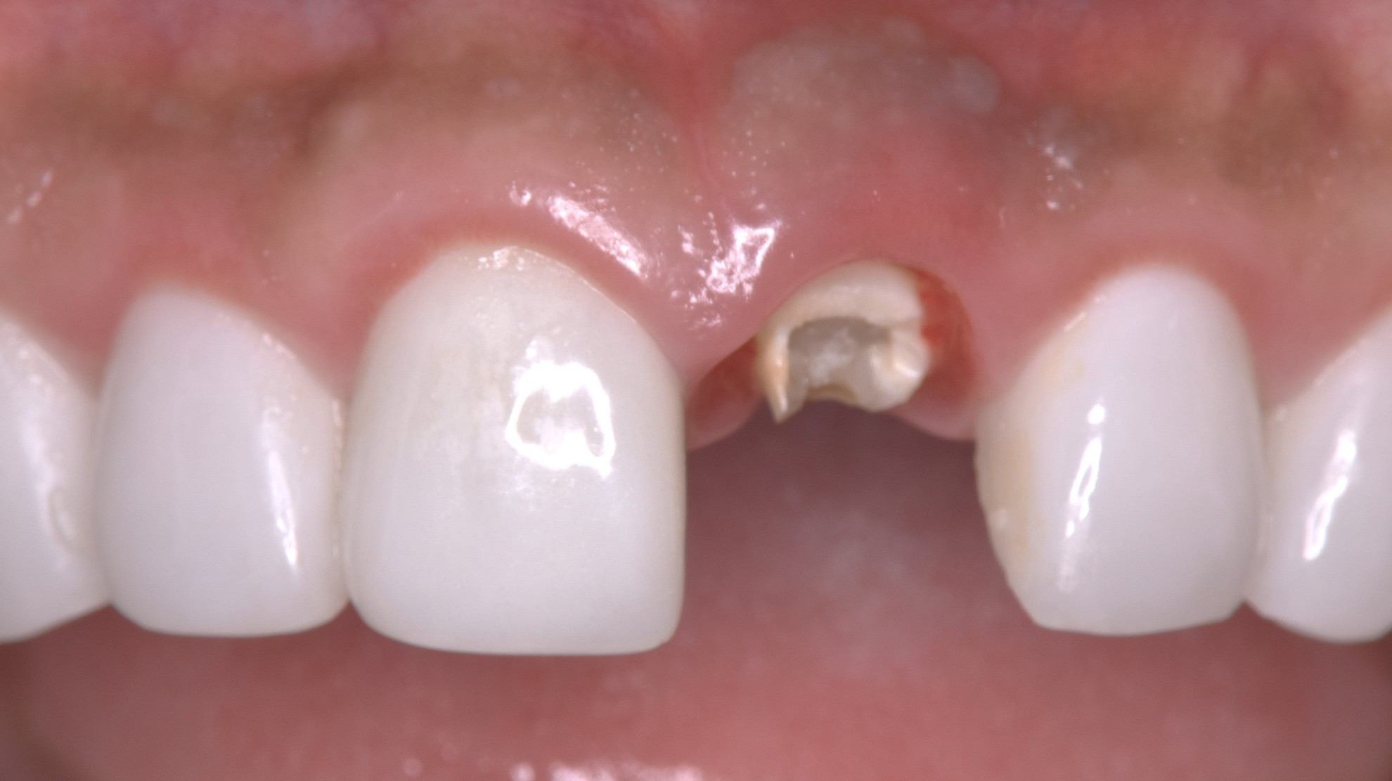
前歯のブリッジがとうとうダメになってしまったのでインプラントに替えました
70代女性: 18年ほど前に当院で左上奥歯のみインプラントの手術と上物にセラミックの作成を行い、他院にて前歯のブリッジを同時期に行いました。前歯のブリッジは何度か腫れたり、神経の治療が必要になったり、新たな虫歯ができたり、揺れてきたりして、いよいよもう持たせられなくなりました。 今後再び自身の歯を使用したブリッジをつくることが不可能なため、前歯部分をインプラントで再構築するか、部分入れ歯にしていくかのお話をしたところ、当院で行われた左上奥歯のインプラントが18年トラブル無しで持っているため、前歯部分もインプラントをご希望されました。
DA VINCI SURGICAL SYSTEMを体験
先日、当院真向いの河北総合病院が2025年7月にリニューアルするということで、その内覧会に行ってきました。心を癒すかのような大きな絵画や多くの緑に囲まれる素晴らしい環境を確認できました。 また、ダビンチXIを操作できるたいへん貴重な機会もありました。 のぞき込む画面上で操作するという点で、歯科用顕微鏡(マイクロスコープ)と共通した感覚を感じられました。
戦後の日本の歯科学の様子がうかがえる貴重な資料です
ニューヨーク大学インプラント科の補綴学のファカルティのひとりに LLOYD LANDA先生というベテランの先生がおられました。 補綴学とは、被せものやブリッジや入れ歯を主とする一分野で、わたしは特に,インプラントを使用した入れ歯(オーバーデンチャー)を中心に教わりました。
彼のお父様が戦後にアメリカ人歯科医として初めてフルブライト基金にて東京医科歯科大学に5か月間教えに来ていたとのことで、あるときこの文献をいただきました。
”上顎の総入れ歯が何回も割れてしまって困る”
60代後半 男性
”上の入れ歯で苦労しているのだが、通っていたクリニックが閉院になった” とのことで当院に来院されました。
診査をしたところ、下の前歯がしっかり残っているため、かみしめる力がかなり強く、入れ歯も安定していない。骨の量はしっかりしていたため、インプラントでの固定式のブリッジ(オールオンX的)を提案したところ、積極的にすすめていきたいとのこと。 この方法は、インプラントがしっかり骨に固定できる等の条件さえ揃えば、インプラント埋入手術と同時に固定式の仮歯がはいるのが特徴である。
下の前歯全体が突出していたので、上下のかみ合わせを調整することにより、見た目の改善をこころみます。
長年、不適合な入れ歯を使用していたため、上の入れ歯だけでなく、下の前歯全体の配列が乱れていました。 下の前歯のみが残存しているかたの典型的な見た目です。 この場合は上下同時にかみ合わせを調整すると、かみ合わせだけでなく、見た目も改善できることがあります。(フルマウス リハビリテーション)
まずは仮歯でかみ合わせと見た目を整えます
咬合器というかみ合わせをチェックできる器具を用いて慎重にすすめます。
上顎は新しい仮歯としての総入れ歯を入れました。 これが即時荷重のインプラントブリッジの青写真になります。
最終的にどのような見た目にしたらよいかの青写真として、仮歯を製作しました。見た目だけでなく、機能面もチェックできます。
上顎はオールオンXタイプの即時荷重のインプラントブリッジ予定です
CYスキャンにて骨の量を確認したところ、 インプラントを4本入れる骨量は十分ありました。
4本のインプラント埋入と同日に仮歯を固定して、総入れ歯とはおさらばしました。
インプラント4本を埋入して、しっかりと固定ができたため、その日のうちに固定式の仮歯をつけて帰宅していただきました。 この日からは、やわらかいものを2か月ほど食べていただくことになります。 しっかりと固定できない場合は、再び入れ歯をして帰っていただきます。
術中術直後の考えられる偶発症:歯肉、顔の腫脹、術後出血、痛み インプラント体の固定不足、 新しい仮歯への変換による発音不慣れ等 等
インプラントとマイクロ根管治療を用い白い歯に
画面の左奥銀歯の歯肉に腫れがあり、膿が出ています。 画面右側の奥歯は既に失われています。 とうとう奥歯での食事が難しくなり来院されました。 40代 男性
古い銀歯を外すと、レントゲンで目立たなかった虫歯がみつかることも。。。
銀歯が気になっている方も多いと思います。 ただ痛みもなく、取り換えるきっかけがないこともあります。 今回はそんな一例でした。よくみると、手前の歯との境目(画面左側)も茶色くなっています。
当院に通っていただいている方からいただきました
写真では伝わりにいのですが、 みているだけで優雅な気持ちになりました。 ありがとうございます。
小臼歯(前歯と奥歯の中間の歯)は結構折れやすい!?
40代女性 歯が欠けたとのことで来院 神経のある歯だが歯肉の下の部分にかけて折れていた。
小臼歯とは,犬歯の後ろにある歯のことをいいます。 アラビアでは ”豆を噛む歯”と呼ぶそうで、硬いものを引き裂いたり、かみつぶす際に使う歯です。クリニックにおいて、けっこう折れてくることを多くみる歯です。
今回は歯肉を切除することにより、歯の長さを上部構造(クラウン)が外れないようにするべく、クラウンレングスニング術を選択いたしました。なお根管治療(歯の神経の治療)は不要ですみました。
事故で前歯が折れました
1週間ほど前に事故にあい、身体は無事だったそうなのですが、歯がとれてしまい、ご自身で接着剤で歯を戻したがすぐにとれてしまったとのことで、当院をホームページでみつけて来院されました。
なんと
前回ブログでは2023年までのスマイルオブイヤーに選出された面々について書きましたが。。 2024年いい歯の日(11月8日)の前日に日本歯科医師会主催にて東京都内で開催された結果は。。。
誰が受賞すると思いますか??
毎月神作歯科医院に送られてくる、日歯広報(日本歯科医師会発行)にて、 年一回、いい歯の日(11月8日です。。)にちなんで、ベストスマイル・オブ・ザ・イヤー賞が男女ひとりずつ発表されます。昨年2023年は、白石麻衣さん、鈴木福さんが選ばれました。 鈴木福さんは、”笑う門には福来る” という言葉を大切にしてきたとのことで、まさに受賞するに値する方ですね。 なお、過去の受賞者を次ページにまとめてみましたが、どんな方が入っている炉思いますか? 貴方の好きなスマイルの方もはいっているでしょうか??
みなさま、こんにちは。勤務医の志賀です。 今日は私のライフワーク、モンゴル国ウランバートルでのボランティアについて書か せていただきます。 2016年から HAPPY TOOTH PROJECT ~むし歯で亡くなる子どもたちをなくそう プロジェクト〜を主催しています。モンゴルの医療システムでは、所得の低い人は公 立病院で歯の治療をすることが多いのですが、大変混み合っているため3ヶ月以上受 診まで待たなけれはならず、治療のタイミングを逸して悪化し、蜂窩織炎(ひどい炎 症)で亡くなる子どもがいると知り、私に何かに出来ることがないかと思ったのがき っかけです。 様々な家庭の事情で、親から離れた子どもたちが住む孤児院での活動に最も力を入れ ていて、毎年訪問し、歯科検診をし、一緒に遊んだり、歌を歌ったり、子どもたちの 成長に目を細め、楽しいひとときを過ごしています。昨年はみんなで空港へ社会科見 学に出かけました。コロナ禍でなかなか外出できなかった時期があったようで、子ど もたちが楽しそうにしている姿が印象的でした。子どもの歯が突然痛くなったとき に、3ヶ月も待つことなく近隣の歯科医院を受診できるようにもしています。この治療 費は皆様からいただいたご寄付で、寄付者の方々には心ばかりの御礼 (子供たちのお 手紙や絵)と、私たちがボランティア活動をする際着用するTシャツにお名前やロゴ を入れさせていただいてます。 また来夏、子供たちに会いに行くのが楽しみです。
荻窪 白山神社
先日訪れました荻窪白山神社。歯の神様としての民間信仰があるそうです。 絵馬を掛ける場所もあるのですが、歯のお悩みのあるかた、口が健康になりたい方が多いのを見て、こんなにも歯で悩まれているかたがおられるのか!と初心に戻る気持ちにさせられました。
なにかスポーツやってますか?? これはアイスホッケー用マウスガードです
スポーツ用マウスガードとは、スポーツ時に歯列に装着して、顎口腔領域の硬組織と軟組織の外傷、脳震盪を予防あるいは軽減するための装置と定義されており、多くの競技で使用が義務化されております。
大き目の詰め物がすでに入っている場合
40代女性 詰め物の縁が茶色くなり診査したところ、内部に虫歯の再発があったため、白い被せものにすることに決定した。 素材はフルジルコニアクラウンを選択した。 当院では、すでに入っている詰め物が大きくなればなるほど、残っている歯の縁の破折を予防するために、被せもの(クラウン)を提案いたします。 歯の縁が破折すると、場合によっては、歯根のほうから破折してしまい抜歯を余儀なくされることを予防するためである。
先日、院長母校である東京歯科大学が慶応大学と合併するというニュースがあり、名前が変わる前にと写真に納めました。私たちが学んだ教養棟はすでに取り壊されているのですが、寂しい気持ちにもなりますね。
我々のチームはこのたび、基本理念となる標語をつくりましたので、公開したいと思います。
Compassion 悩みに寄り添い
Sense ささいなことを察知し
Share 情報を共有し、重症化への予防に役立てる
今後ともさらなる皆様のご指導ご鞭撻を賜りますようよろしくお願い申し上げます。
神作歯科医院
チーム一同
なにもないと広いですね。。。
当院の改装工事が本格的に始まりました。
つぎはぎの工事ではなく、一旦スケルトンにて配線配管からやりなおすため、工期がかかってしまいご迷惑をおかけしております。
改装後は機能、見た目ともにより充実した内容になる予定です。しばしお待ちください。
後輩が講演するとのことで福岡へ勉強しに行ってきました!
セミナー会場には学生も相当数きており、勉強熱心なところです。
さすがグルメな街で、セミナー会場のランチでさえ、味わえました。。
先日、保育園にて検診を行いました。たくさん食べて、よく噛んで いつまでもその笑顔忘れないでね!
2018年9月に幼稚園での歯磨き指導をおこなってまいりました。当院歯科衛生士のふたりが、予防の講義と実習を行いました。こどもの歯磨きと保護者の仕上げ磨きの目的の違いについてや、フッ素予防や、甘い物等についてお話しました。こどもたち、(おとなも)楽しんでくれたかな!?
下を磨くときは”こんにちは”です~
| 月 | 火 | 水 | 木 | 金 | 土 | 日 | |
|---|---|---|---|---|---|---|---|
| 午前 | ○ | ○ | ○ | ー | ○ | ※ | ー |
| 午後 | ○ | ○ | ▲ | ー | ○ | ※ | ー |
午前:9:00~12:30
午後:14:00~18:30
▲:14:00~17:30
※:9:00~12:00/13:00~15:00
休診日:木、日、祝日