【世界水準の歯科治療】阿佐ヶ谷の歯医者

〒166-0001 東京都杉並区阿佐谷北1-3-12
JR阿佐ヶ谷駅から徒歩2分

診療時間
9:00~12:30
14:00~18:30

▲:14:00~17:30, ※:9:00~12:00/13:00~15:00
休診日:木、日、祝日

英語対応可能(English is Available)

ご予約・お問合せはこちら

03-3338-0755

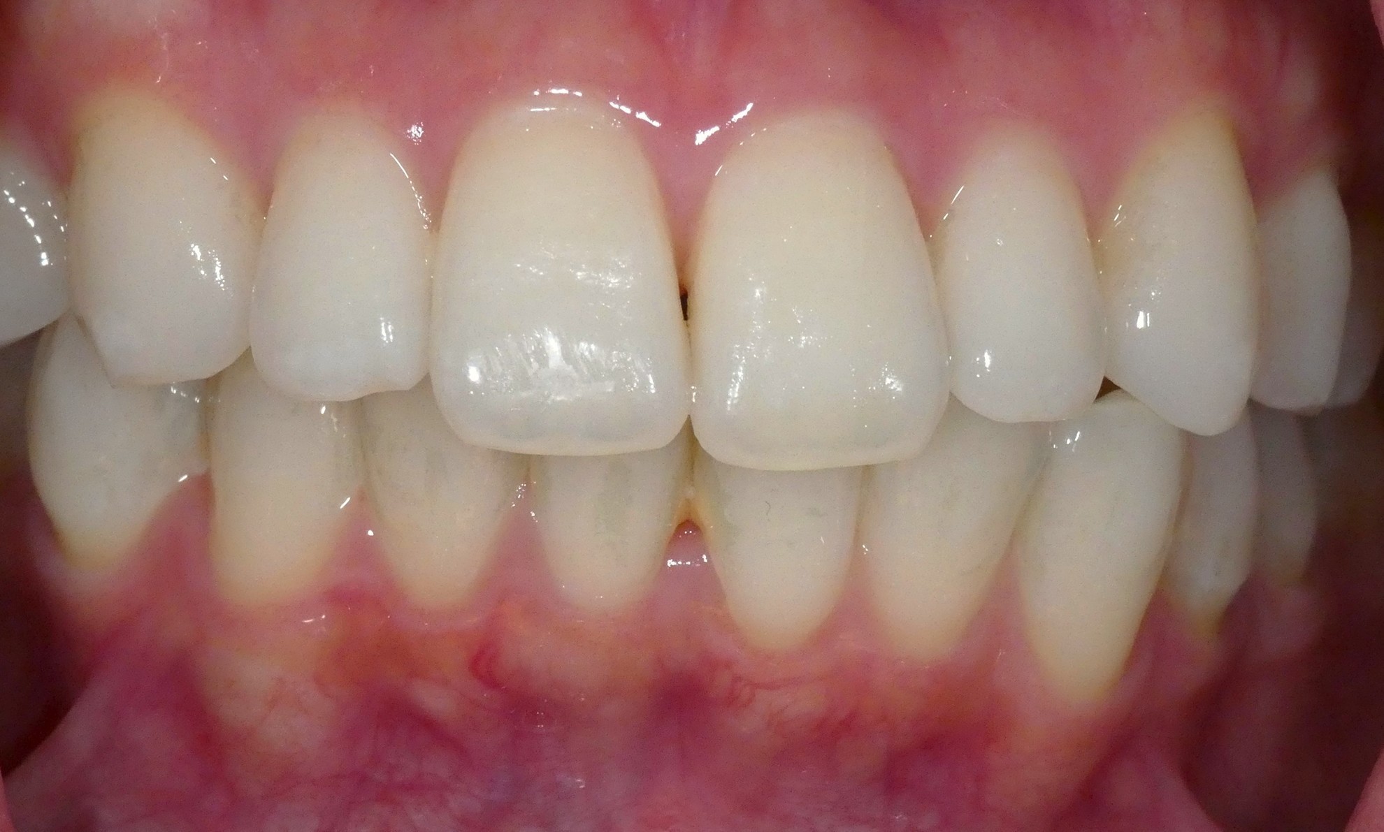
術前:前歯2本にホワイトスポットが存在

ホームホワイトニングとホワイトスポット治療のコンビネーション

近年、前歯の白い斑点(ホワイトスポット)を目立たなくする ホワイトスポット治療(ICON治療)が注目されています。 当院でも多くの患者様からご相談をいただき、実際に治療を行っています。 ●実際の症例 先日行ったホワイトスポット治療をご紹介いたします。 以前から当院に通院されていた患者様が、 「前歯の白い斑点がずっと気になっている」と改めてご相談くださいました。 まずはクリーニングを行いながらホームホワイトニングのみで、白斑/ホワイトスポットが目立たなくなるかを見てみました。かなり目立たなくなりましたが、やはりICON治療をやってみたいとのことで、まずは2本ある白斑の目立つ方の歯からICONによるホワイトスポット治療を実施。納得のいく結果だったため、もう片方のICON治療も希望されました。 治療後に鏡でご自身の歯をご覧になり、 「長年気になっていた白い部分が目立たなくなった!」と 大変喜んでいただきました。 ●ICON治療の特徴 ・歯を削らずに治せる(最小限の処置) ・今回は違いましたが、1回の来院で完了することも多い。(おおよそ1時間〜1時間半ほど) ・痛みがない(麻酔が不要なケースがほとんど) 通常の虫歯治療と違い、歯を大きく削る必要がないため、 見た目の改善と歯の健康を両立できる治療です。 前歯の白い斑点が気になる方、ホワイトニングと合わせて改善したい方は、 ぜひ一度当院までご相談ください。 1歯あたり35,000円(税抜)。同時に行う場合の2歯目以降は、1歯ごとに+10,000円(税抜) DR長井が主に担当しています 

ホームホワイトニングのみの終了後

ホームホワイトニングを1か月ほど行った結果になります。 これだけでも結構目立たなくなってきてます。

 

これでひとまずOKとのことでしたが、約一年後にやはりICON治療も行いたいとのことで来院されました。

 

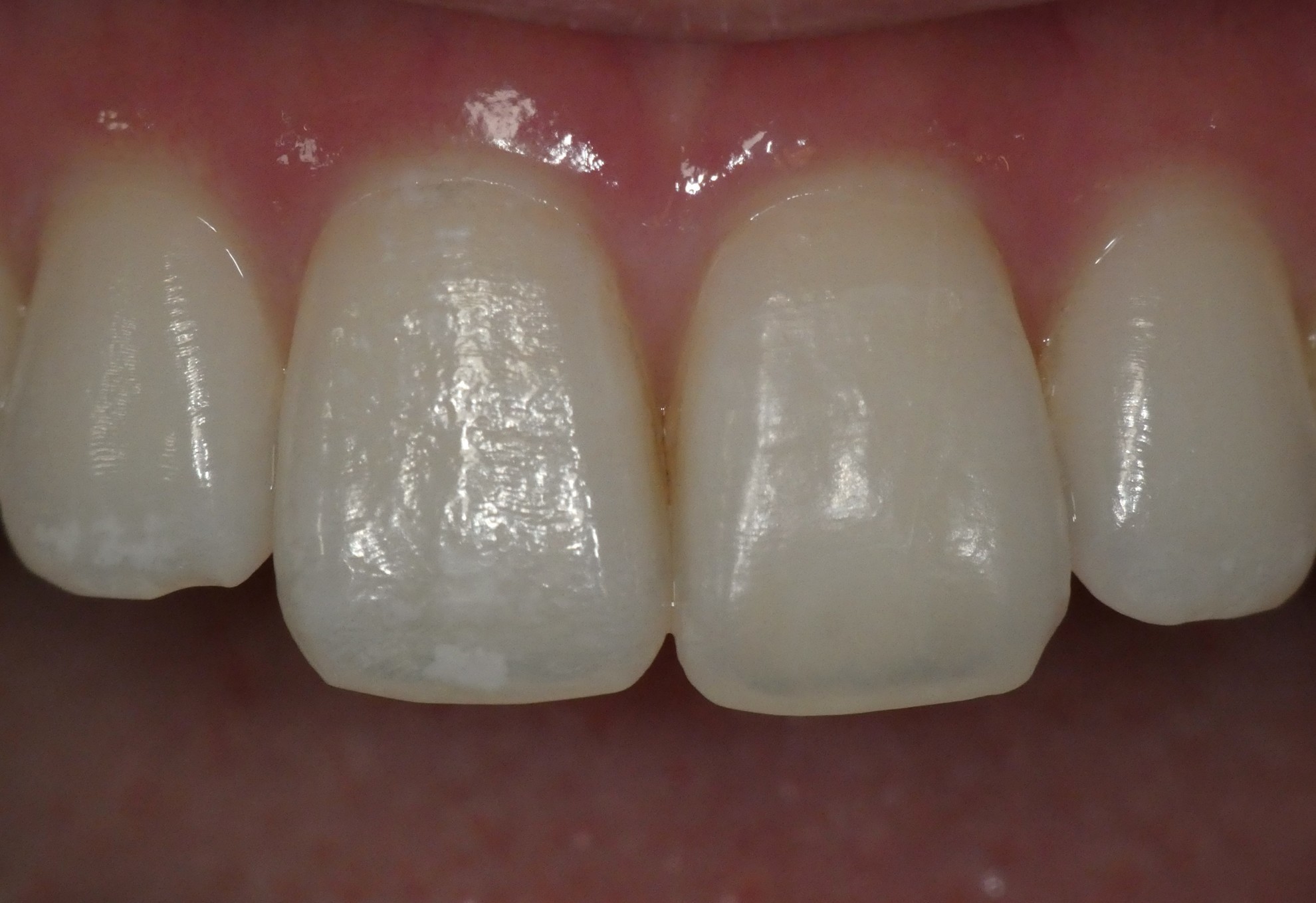
約一年後、左側(画面右側)一本のICON治療

まずは画面右側の前歯一本のみのICON治療を希望されました。 治療は1時間程度で終了。、どこに白斑/ホワイトスポットがあ存在していたか、もはやわかりません。 反対側の前歯もICON治療を希望されました。

最終的に左右の前歯1本ずつICON治療しました

今回は都合により、ホームホワイトニングとICON治療を1年間隔で行いましたが、続けて行うことがほとんどではあります。 ホームホワイトニング上下4万円(税別) ICON治療1本35000円(税別)